Case Sharing | Severe Lower Limb Arterial Calcification Treated with ThorCrack Peripheral IVL
-
2025-09-11
-
LEPU
Patient Profile
·Gender: Female
·Age: 53 years
·Chief Complaint: Bilateral foot necrosis with black discoloration for >6 months
·Past Medical History: Long-term hemodialysis for end-stage renal disease, hypertension, and diabetes mellitus with poor long-term control
Clinical Findings
·Physical Examination: Weak femoral pulses; absent popliteal and dorsalis pedis pulses; ulceration on left first toe; necrosis on right first and second toes
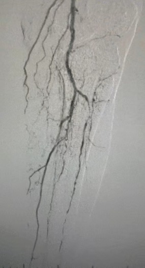
·Preoperative Imaging: Severe, diffuse calcified stenosis in bilateral lower limb arteries
Treatment Approach
Given the complex vascular condition, we selected the ThorCrack Peripheral IVL Balloon Dilatation Catheter System. Due to the patient’s limited tolerance, staged interventional procedures on both lower limbs were performed.
Surgical Outcome
Post-procedure, arterial stenosis improved significantly, blood flow increased, and skin temperature rose. No postoperative complications occurred. Both the patient and surgical team were highly satisfied with the results.
This case highlights a major breakthrough in minimally invasive treatment for severe lower limb arteriosclerosis, providing more effective solutions for challenging cases.





