Home>News
Case Sharing | CLI + Chronic Occlusion Treated with ThorCrack IVL
-
2025-06-06
-
LEPU
Clinical Case Spotlight: CLI + Chronic Occlusion Treated with ThorCrack IVL
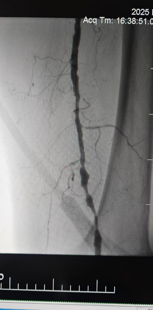
We are pleased to share a successful case from a hospital in Batumi, Georgia, where a 78-year-old female patient with Critical Limb Ischemia (CLI) caused by chronic total occlusion of the lower limb artery showed remarkable clinical improvement following treatment with the ThorCrack Peripheral IVL Balloon Dilatation Catheter System.
About ThorCrack Peripheral IVL Balloon Dilatation Catheter
The ThorCrack Peripheral IVL Balloon Dilatation Catheter is specifically designed for lesion preparation and balloon dilatation of calcified stenoses (≥ 50%) in the: Iliac artery, Femoral artery, Iliofemoral artery, Popliteal artery, Renal artery, Infrapopliteal arteries (below-the-knee)
Key Specifications:
Maximum IVL pulses: 300
IVL pulses per cycle: 30 (10 cycles)
Balloon diameters (mm): 3.0 / 3.5 / 4.0 / 4.5 / 5.0 / 5.5 / 6.0 / 6.5 / 7.0
Balloon lengths (mm): 40 / 60
Compatible guidewire: 0.014"
This case underscores the clinical value of intravascular lithotripsy (IVL) in the treatment of complex CLI cases with long-segment chronic occlusion—particularly in patients with heavy calcification, where traditional balloons or atherectomy devices may have limited efficacy.
We are proud to see ThorCrack IVL empowering physicians around the world to overcome calcified lesions, restore perfusion, and improve patient outcomes in complex peripheral arterial disease.
Contact us>>marketing@lepu-medical.com
Visit lepumedical website for more >>en.lepumedical.com



